Hệ thống MRI 0.3 Tesla OPENMARK III
Thiết kế nhỏ gọn - Bước tiến vượt bậc
OPENMARK Ⅲ là sản phẩm có hiệu năng trên chi phí tối ưu nhất, được trang bị từ trường 0.3T cùng hệ thống thu RF 4 kênh trong cấu hình phần cứng, đảm bảo chất lượng hình ảnh vượt trội. Về phần mềm, hệ thống áp dụng thiết kế thông minh, giúp tối ưu hiệu suất vận hành. Đặc biệt, bộ chuỗi xung và công nghệ hình ảnh đa dạng được tích hợp trong gói tiêu chuẩn, mang đến giải pháp lâm sàng toàn diện cho người dùng
Công nghệ
Đặc điểm nổi bật
Hệ thống nam châm dạng mở
Phần cứng Gradient tích hợp
Giải pháp lâm sàng ấn tượng
Hệ thống nam châm hoàn chỉnh
Cấu trúc độ mở lớn
Nam châm dạng chữ C với độ mở lớn 320°, mang đến trải nghiệm chụp thoải mái hơn cho bệnh nhân.

Công nghệ shimming độc đáo
Kết hợp hiệu chỉnh từ trường thụ động và chủ động, cải thiện đáng kể chất lượng hình ảnh khi quét FOV lớn hoặc lệch tâm

Hệ thống kiểm soát nhiệt thông minh
Duy trì nhiệt độ ổn định, đảm bảo độ ổn định cao của từ trường trong suốt quá trình vận hành.

Hệ thống gradient tích hợp

Hệ thống RF hiệu năng cao

Công nghệ tiên tiến về tăng tốc và thu nhận dữ liệu
Thời gian phục hồi nhanh
Giảm thời gian TR, loại bỏ tín hiệu thư giãn T1, cải thiện chất lượng ảnh T2-weighted và rút ngắn thời gian quét

Công nghệ chia sẻ dữ liệu K-space
Chia sẻ dữ liệu K-space giữa các lát cắt, giúp giảm lượng dữ liệu cần thu thập, rút ngắn thời gian quét

Công nghệ điền dữ liệu PROP
Giảm nhiễu do chuyển động mà không làm mất thông tin hình ảnh, áp dụng đối với bệnh nhân khó giữ yên

Hiệu quả đầu tư cao

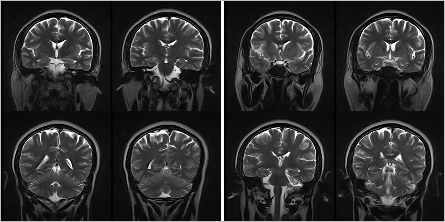
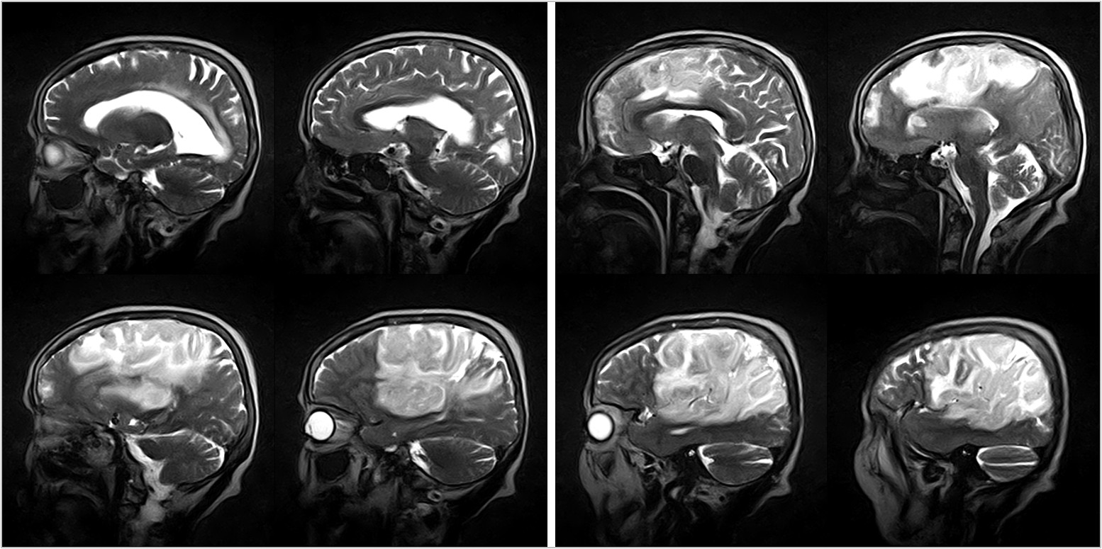
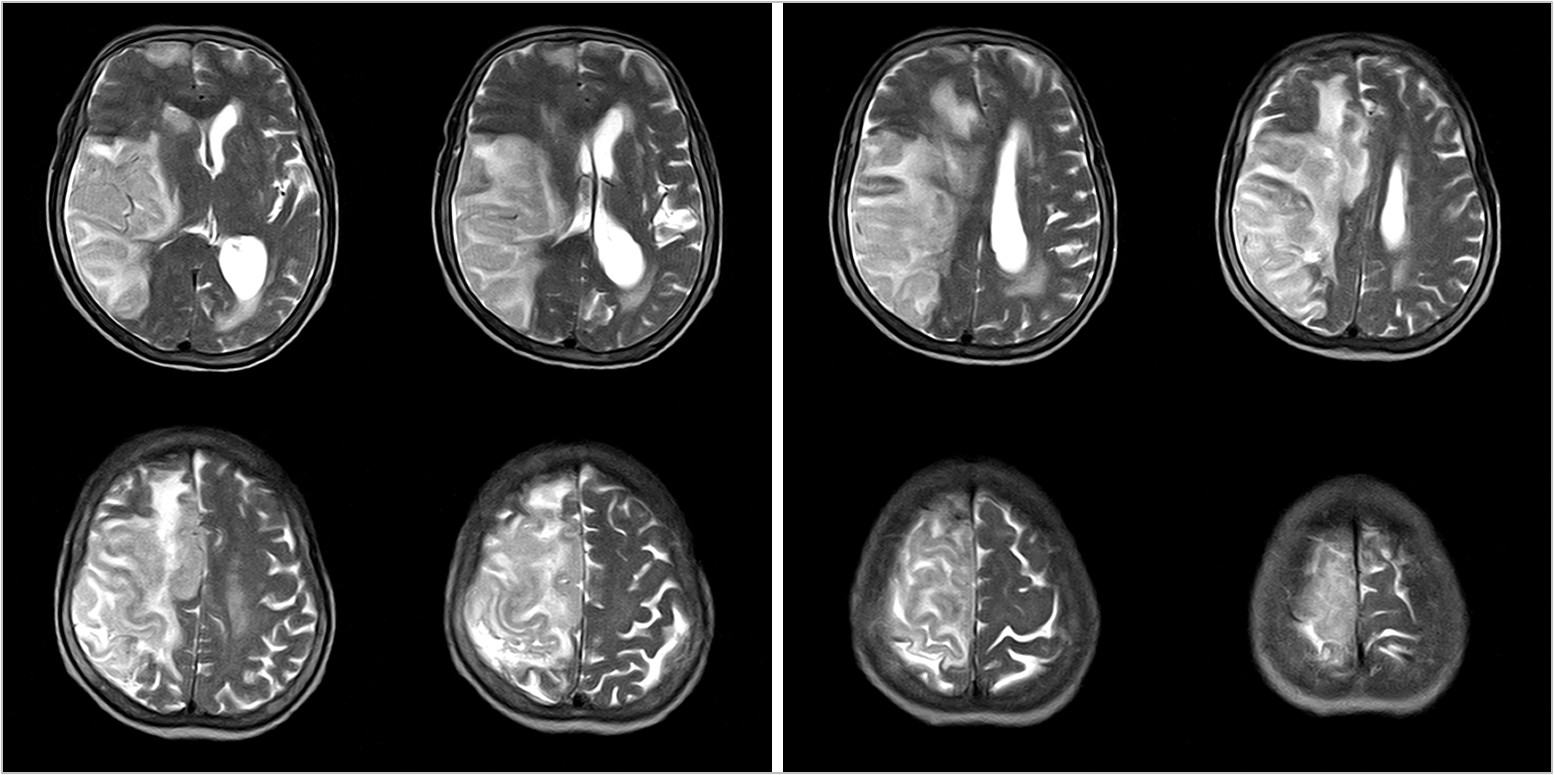
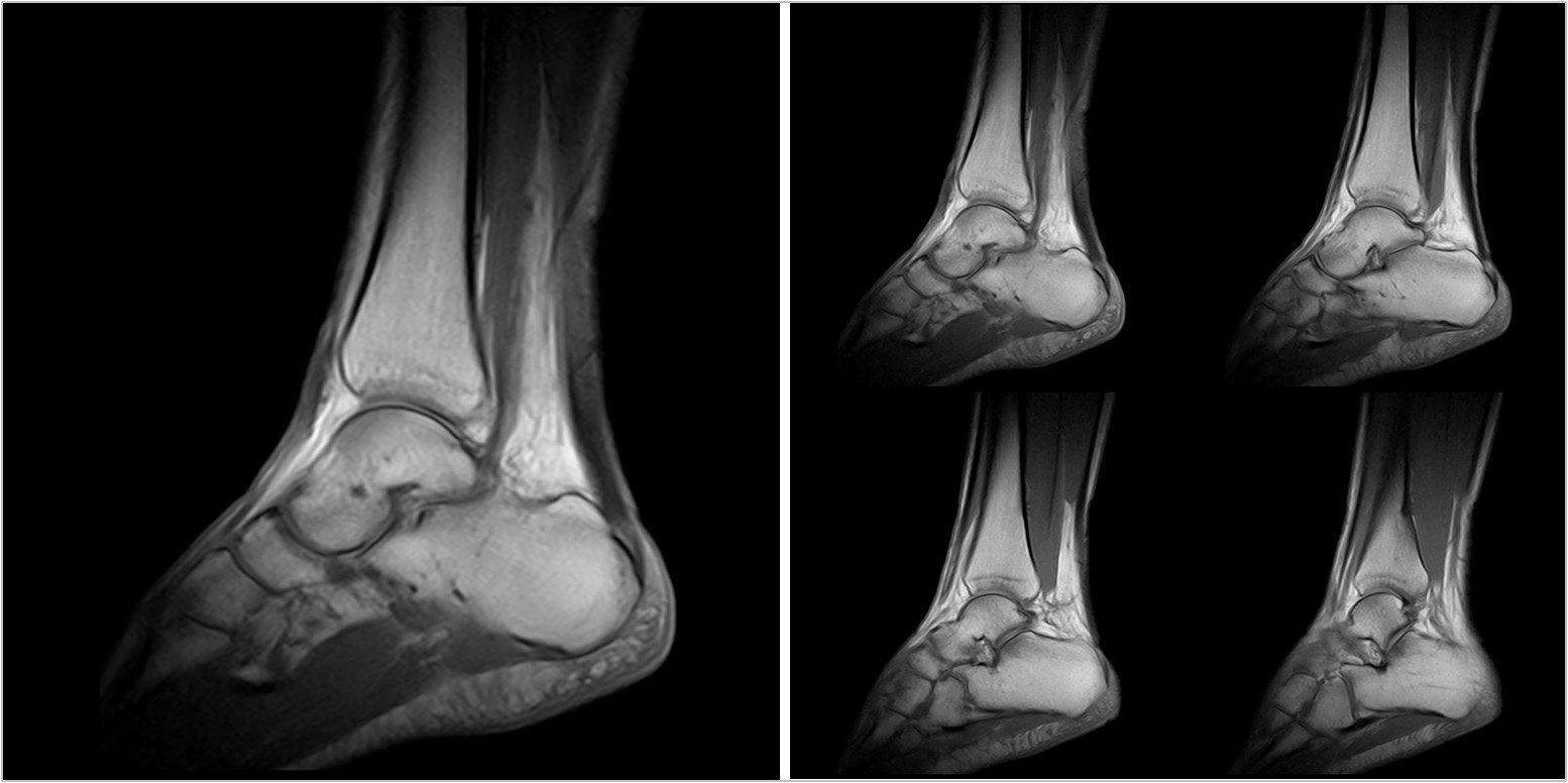
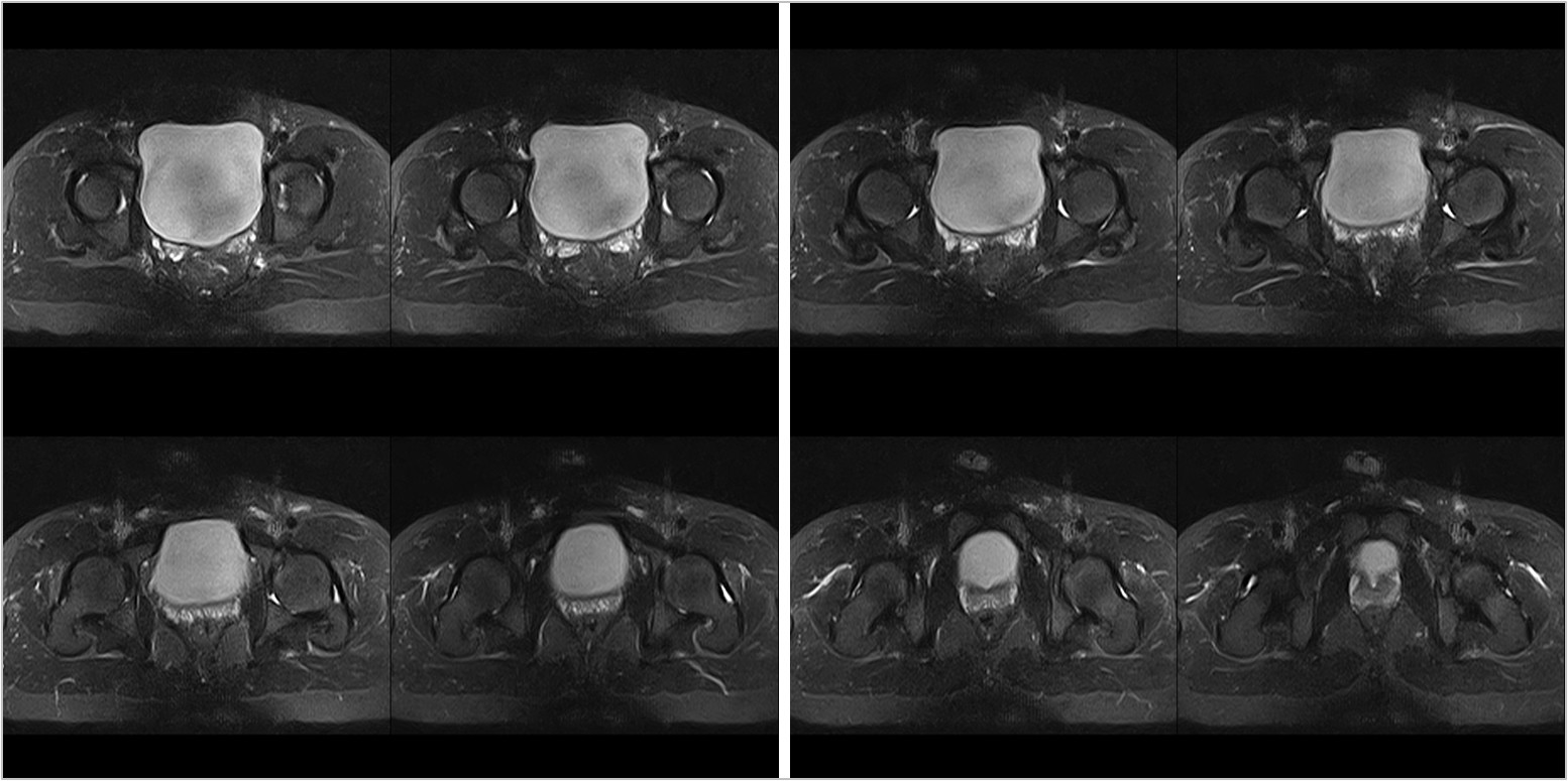
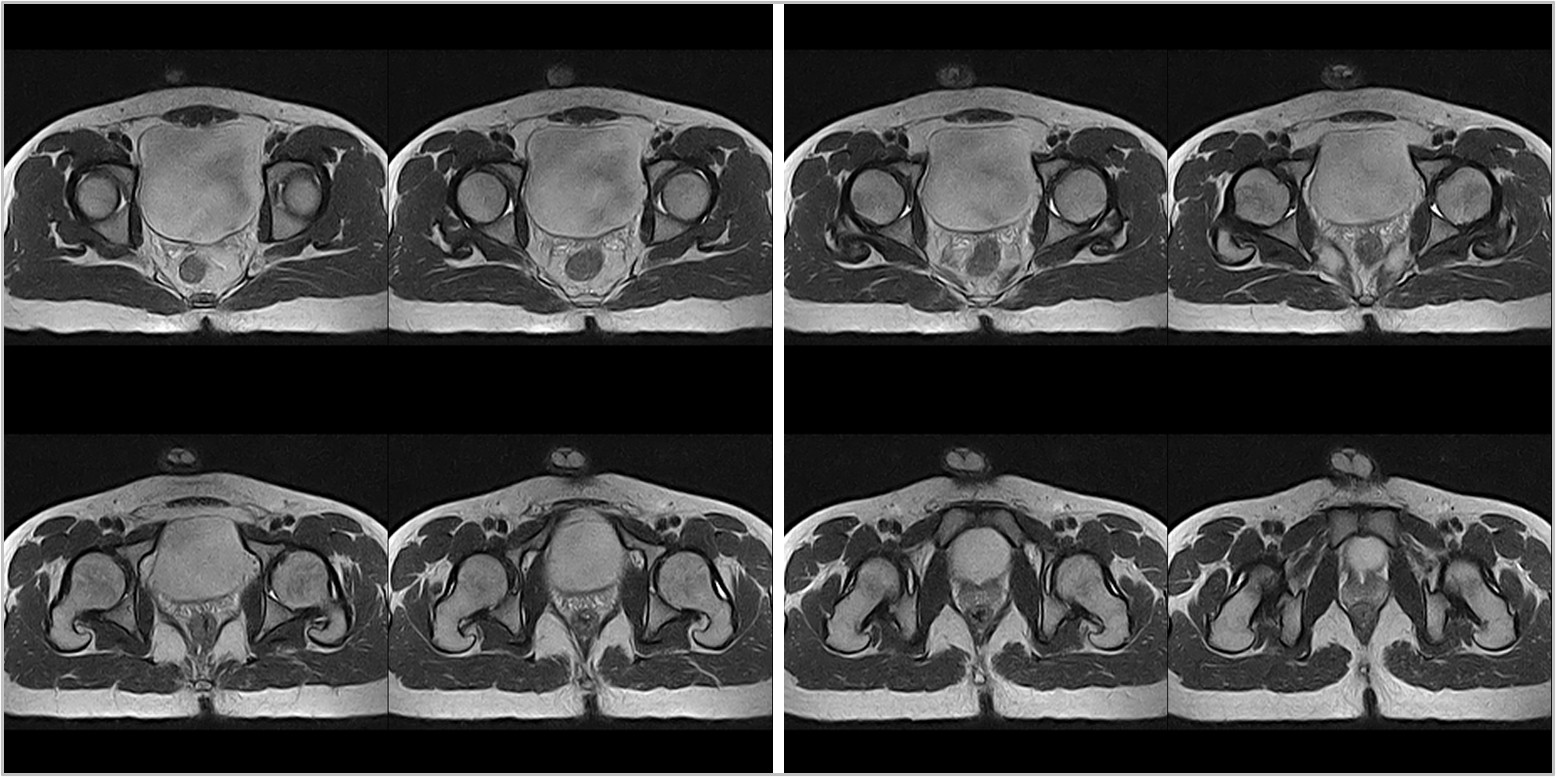
Hình ảnh lâm sàng















