Hệ thống MRI 0.5 Tesla OPENMARK 5000
Cộng hưởng từ từ trường tầm trung thế hệ mới - Công nghệ tiên phong hàng đầu
OPENMARK 5000 là sản phẩm có hiệu năng trên chi phí tối ưu nhất, được trang bị từ trường 0.51T cùng hệ thống thu RF 4 kênh, đảm bảo chất lượng hình ảnh vượt trội. Về phần mềm, hệ thống áp dụng thiết kế thông minh, mang lại hiệu suất vận hành cao và thân thiện với người dùng. Đặc biệt, bộ chuỗi xung và công nghệ hình ảnh đa dạng được tích hợp sẵn trong gói chụp tiêu chuẩn, đáp ứng nhu cầu lâm sàng toàn diện.
Công nghệ
Hệ thống nam châm hiệu suất cao
Từ trường mạnh - Độ mở lớn
0.51T – Từ trường mạnh nhất trong dòng nam châm vĩnh cửu. Thiết kế hai trụ bất đối xứng, góc mở 280° mang lại không gian chụp thoải mái

Công nghệ Shimming độc đáo
Kết hợp hiệu chỉnh từ trường thụ động và chủ động, cải thiện đáng kể chất lượng hình ảnh khi quét FOV lớn hoặc lệch tâm

Hệ thống kiểm soát nhiệt thông minh
Duy trì nhiệt độ ổn định, đảm bảo độ ổn định cao của từ trường trong suốt quá trình vận hành.

Đặc điểm nổi bật
Phần cứng tiên tiến hàng đầu
Chiến lược lâm sàng đột phá
Tái định nghĩa công nghệ MRI vĩnh cửu
Hệ thống gradient tích hợp

Hệ thống RF hiệu năng cao

Công nghệ tiên tiến về tăng tốc và thu nhận dữ liệu
Thời gian phục hồi nhanh
Rút ngắn thời gian TR, loại bỏ tín hiệu thư giãn T1, cải thiện chất lượng ảnh T2-weighted và rút ngắn đáng kể thời gian quét

Công nghệ chia sẻ dữ liệu K-space
Chia sẻ dữ liệu K-space giữa các lát cắt trong quá trình quét, giúp giảm lượng dữ liệu cần thu thập, từ đó rút ngắn đáng kể thời gian quét

Công nghệ điền dữ liệu PROP
Giảm nhiễu do chuyển động mà không làm mất thông tin hình ảnh, áp dụng đối với bệnh nhân khó giữ yên

Hiệu quả đầu tư cao

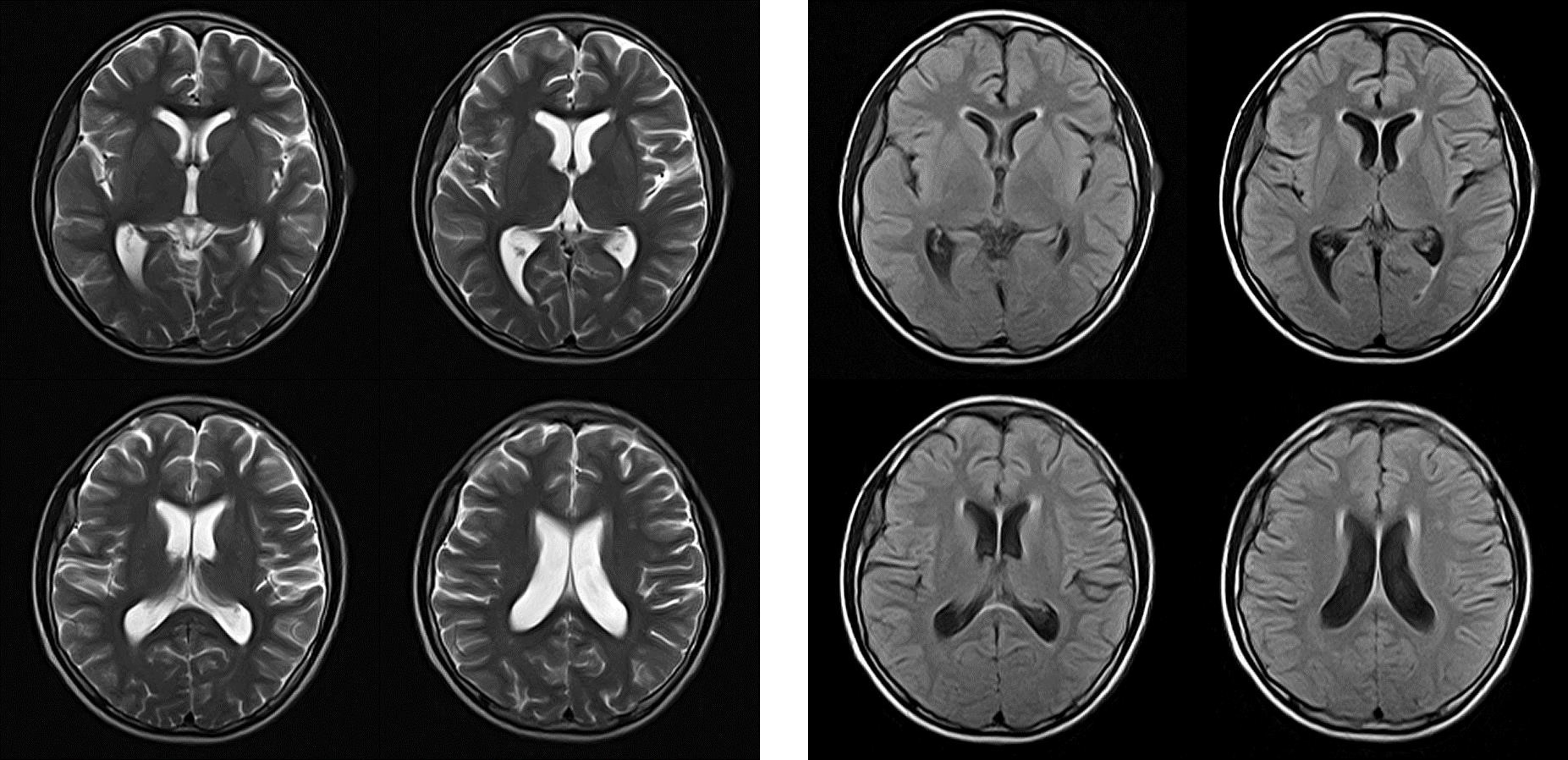
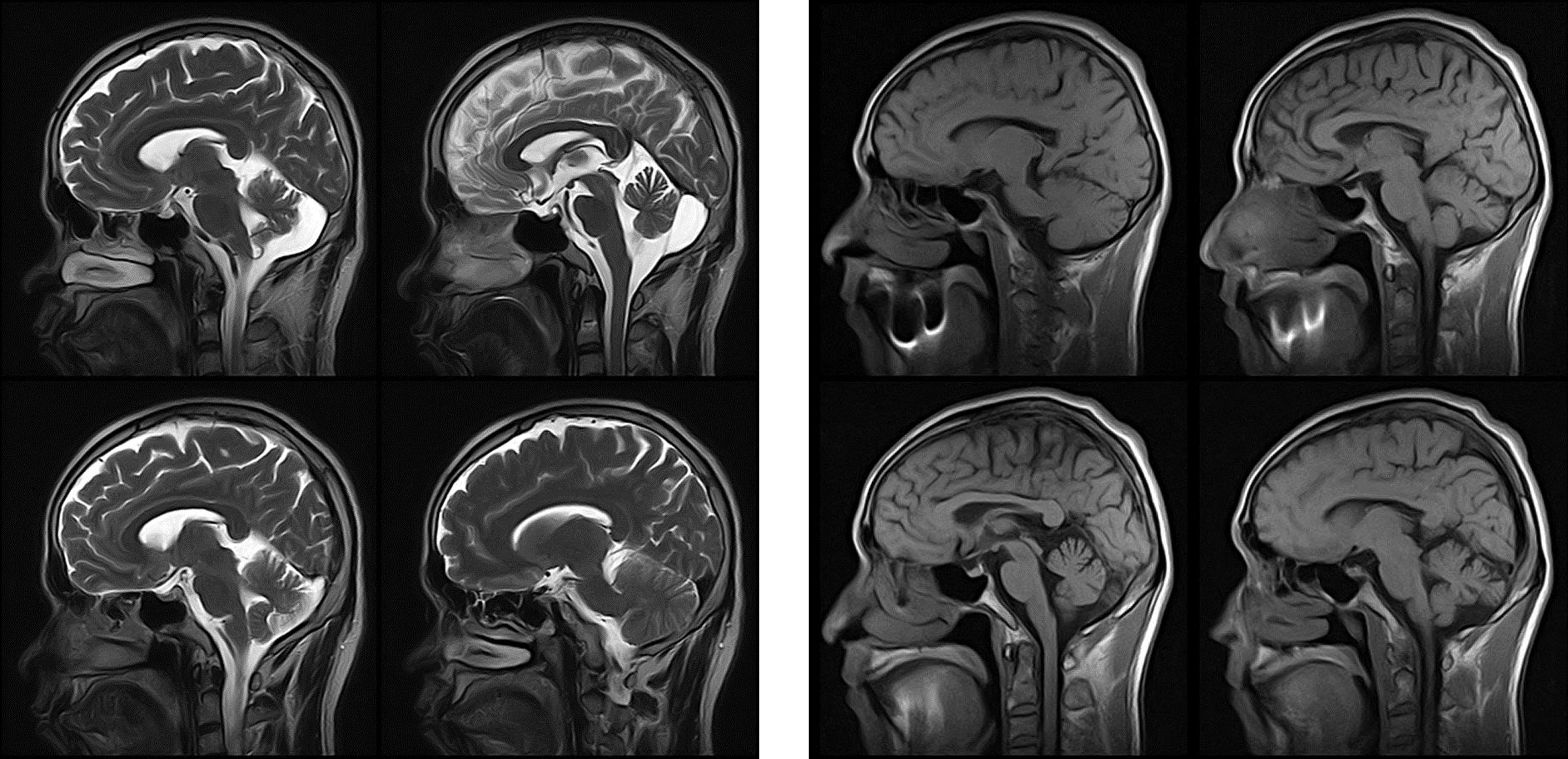
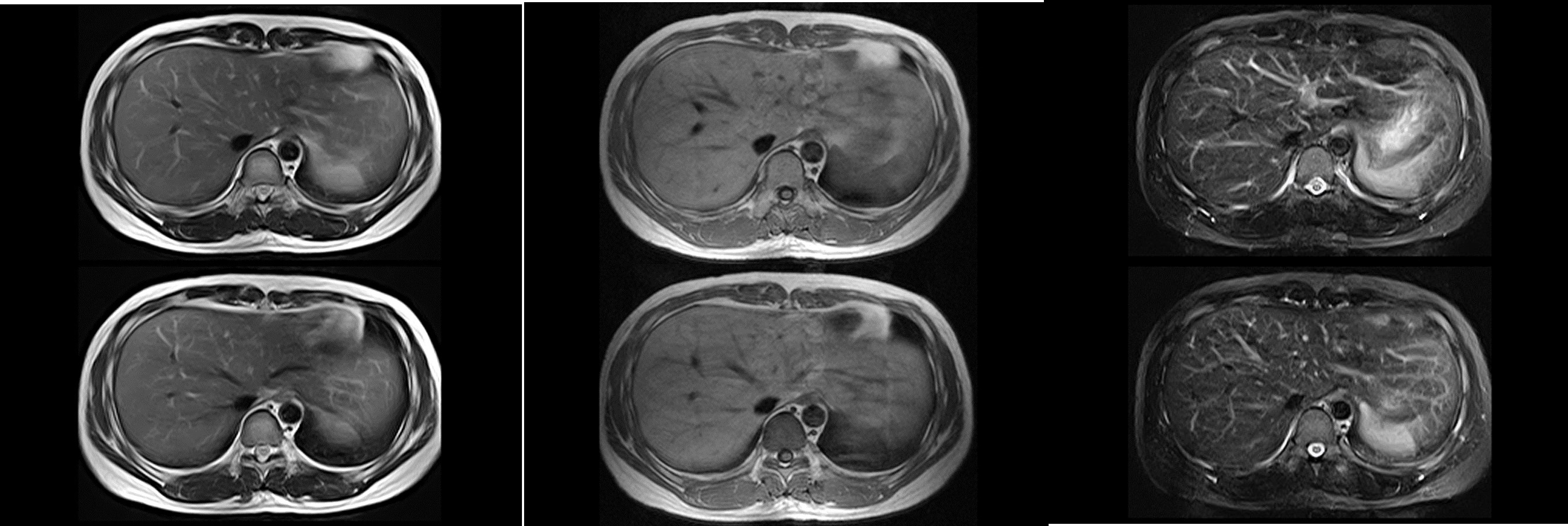
Hình ảnh lâm sàng











