Hệ thống MRI 1.5 Tesla Khoang lớn SUPERMARK 1.5T@WBM
Trải nghiệm vận hành thoải mái - Giải pháp chẩn đoán tiện nghi - Khoản đầu tư kinh tế hiệu quả
Hệ thống SuperMark 1.5T@WBM của ANKE với nam châm đường kính lớn (wide bore) được trang bị công nghệ điều chỉnh từ trường động 3D giúp cải thiện hiệu quả độ đồng nhất của từ trường, đảm bảo chất lượng hình ảnh vượt trội cho các vùng chụp trường nhìn lớn (FOV rộng) và vùng lệch tâm, đồng thời mang lại hiệu quả hình ảnh xoá mỡ tốt hơn
Công nghệ
Trải nghiệm chụp thoải mái
Đường kính nam châm rộng giúp vượt qua giới hạn vật lý trong ứng dụng lâm sàng
Thiết kế khoang chụp rộng rãi mang đến trải nghiệm chụp thoải mái cho mọi đối tượng bệnh nhân

Công nghệ khử nhiễu ảnh
HARP
Được thiết kế chuyên biệt cho bệnh nhân có cấy ghép kim loại, giúp thu được hình ảnh rõ nét hơn

HyperFliter
Giúp giảm nhiễu và giả ảnh, nâng cao độ chính xác trong chẩn đoán

PROP
Giảm đáng kể nhiễu do chuyển động, đặc biệt trong chụp vùng bụng

Hyper.Recon AI
Công nghệ tái tạo hình ảnh giúp cải thiện tỷ lệ tín hiệu trên nhiễu (SNR), độ phân giải và độ sắc nét

Nền tảng Deep Series

Công nghệ quét tăng tốc

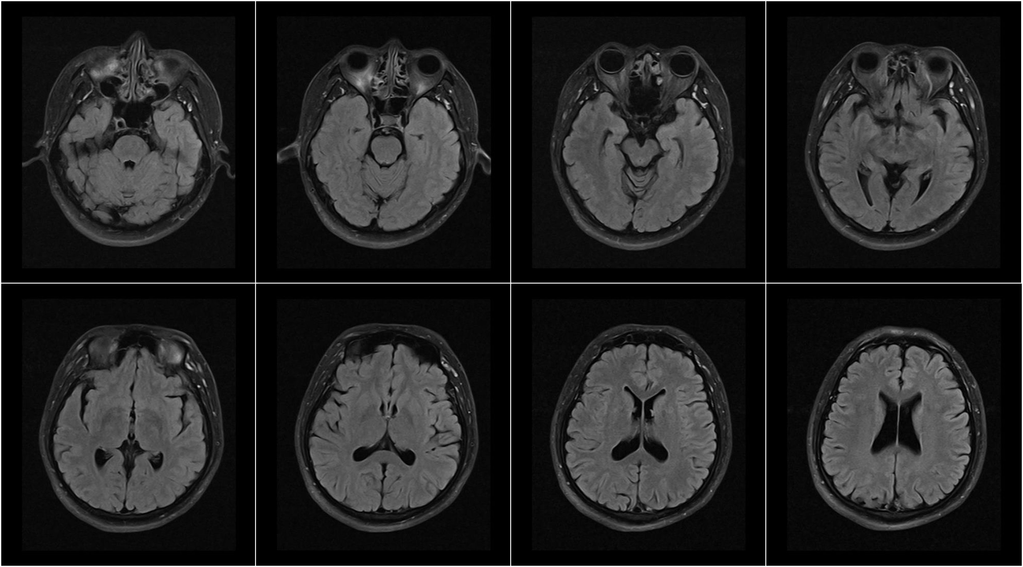
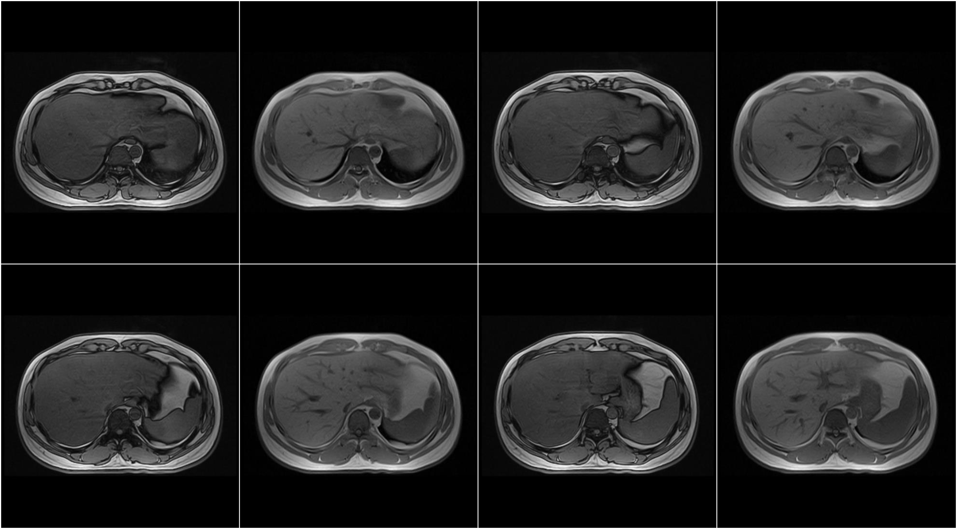
Hình ảnh lâm sàng






