Hệ thống MRI 1.5 Tesla SuperMark 1.5T@ART
Phần cứng mạnh mẽ, hiệu suất cao, ứng dụng toàn diện cho mọi nhu cầu lâm sàng
MRI siêu dẫn thế hệ thứ tư – sự kết hợp hoàn hảo giữa hơn 30 năm kinh nghiệm trong lĩnh vực MRI và những công nghệ tiên tiến nhất hiện nay.
Công nghệ
Đặc điểm nổi bật
Quy trình làm việc tinh gọn
Thiết kế lấy bệnh nhân làm trung tâm
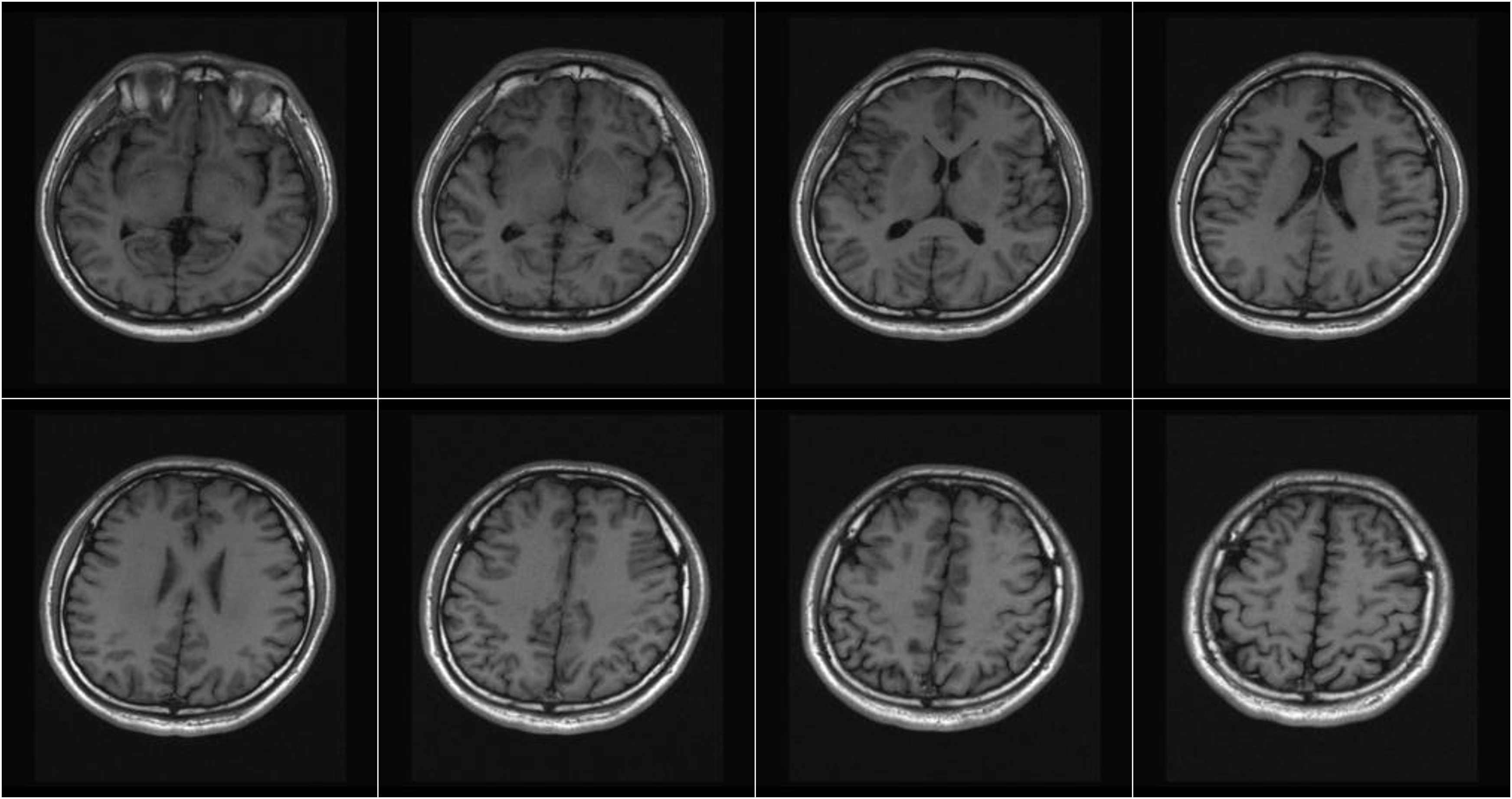
Hình ảnh chính xác cao
Phần cứng ưu việt
Hệ thống nam châm hiệu năng cao
Công nghệ Zero-boil off không bốc hơi heli và đầu lạnh 4K đáng tin cậy

Hệ thống Gradient chính xác
Công nghệ bù B0 giúp duy trì tuyến tính chính xác, tính năng ECC làm đường cong gradient mượt hơn

Hệ thống nam châm đồng nhất
Công nghệ ADS đảm bảo độ đồng nhất cao, hỗ trợ quét FOV lớn và khử mỡ chính xác hơn

Công nghệ khử nhiễu ảnh
HARP
Được thiết kế chuyên biệt cho bệnh nhân có cấy ghép kim loại, giúp thu được hình ảnh rõ nét hơn

PROP
Tối ưu cho bệnh nhân khó giữ yên trong quá trình quét. Nâng cao độ rõ nét và chi tiết của hình ảnh mô mềm

Hyper.Recon AI
Công nghệ tái tạo hình ảnh giúp cải thiện tỷ lệ tín hiệu trên nhiễu (SNR), độ phân giải và độ sắc nét

Công nghệ quét tăng tốc

Công nghệ quét im lặng SoftScan 2.0
Giữ nguyên chất lượng hình ảnh
Mang lại trải nghiệm chụp yên tĩnh, thoải mái cho các ca thần kinh và chỉnh hình
Giảm tiếng ồn thông minh, giảm tới 97% áp suất âm thanh

Hình ảnh lâm sàng







