Hệ thống MRI 1.5 Tesla Không Helium SUPERMARK 1.5T@HFM
Hệ thống không Helium - Mở ra kỷ nguyên mới cho công nghệ chụp cộng hưởng từ
SuperMark 1.5T – Bước ngoặt đột phá của công nghệ MRI không Helium. SuperMark 1.5T Free Helium MRI đánh dấu bước tiến cách mạng trong phát triển nền tảng dẫn truyền lạnh SO-COOL, tích hợp các công nghệ tiên tiến như truyền lạnh siêu hiệu quả, chân không cao cấp và kiểm soát nhiệt độ chính xác. Ngoài ra, hệ thống được trang bị nền tảng vận hành hình ảnh AI, giúp nâng cao chất lượng hình ảnh và tăng tốc quá trình quét vượt trội.
Công nghệ
Công nghệ SO-COOL tiên tiến nhất
Phá vỡ giới hạn của nguồn tài nguyên không thể tái tạo – helium lỏng
Mang lại tính linh hoạt cao hơn trong thiết kế lắp đặt, không cần ống xả helium
Thời gian ngừng hoạt động của nam châm đạt tối thiểu nhờ hệ thống tự động nạp và xả từ trường
Chi phí vận hành tối ưu do không sử dụng helium lỏng

Thao tác thông minh
Nền tảng ART
Quy trình làm việc được tối ưu hóa với định vị một lần duy nhất

Động cơ AiTO
Tự động hoàn toàn, hỗ trợ định vị đa hướng

iNavigator
Tối ưu hóa thông số thông minh, đơn giản hóa quá trình hiệu chỉnh

Công nghệ khử nhiễu ảnh
Hyper.Recon AI
Công nghệ tái tạo hình ảnh giúp cải thiện tỷ lệ tín hiệu trên nhiễu (SNR), độ phân giải và độ sắc nét

HARP
Được thiết kế chuyên biệt cho bệnh nhân có cấy ghép kim loại, giúp thu được hình ảnh rõ nét hơn

Hyper.Filter
Giúp giảm nhiễu và giả ảnh, nâng cao độ chính xác trong chẩn đoán

Nền tảng Deep Series

Công nghệ quét tăng tốc

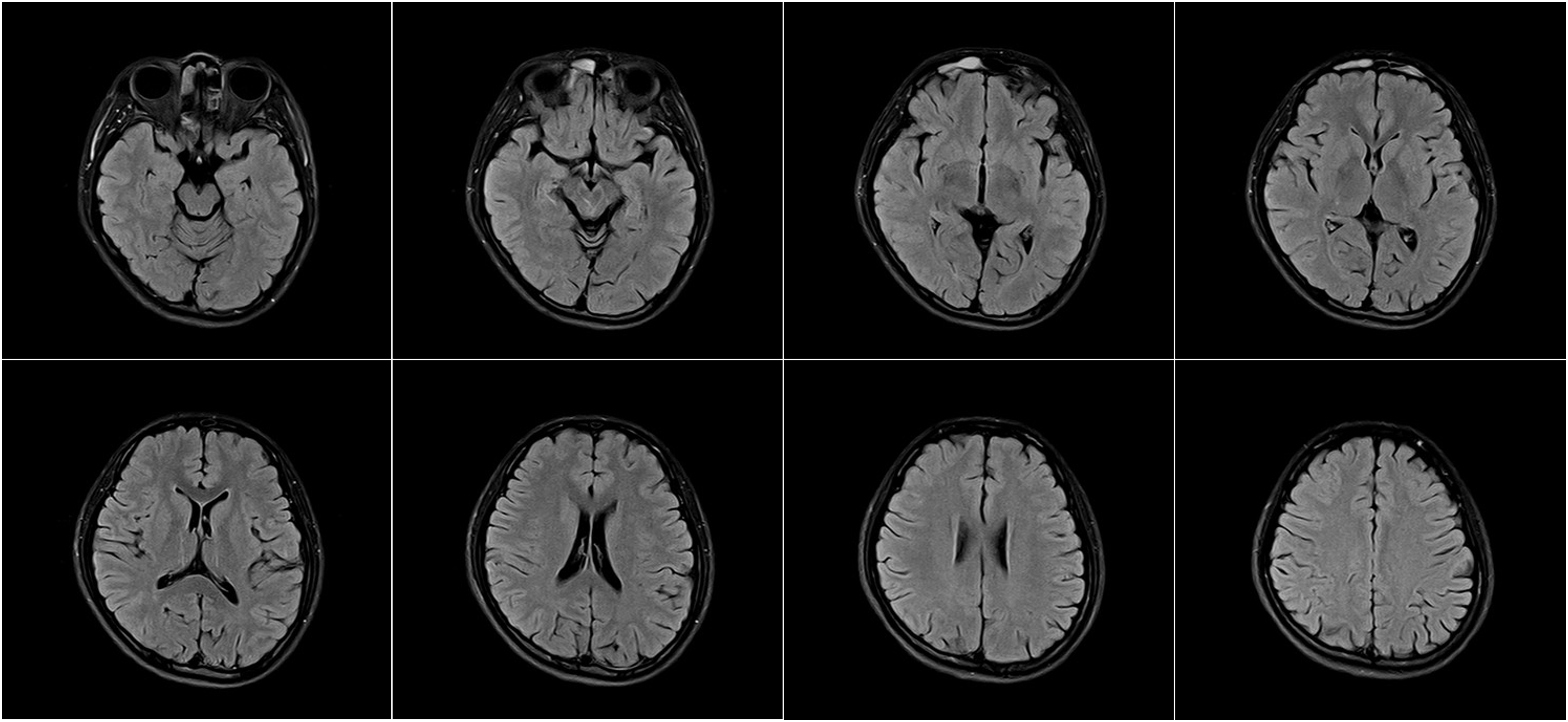
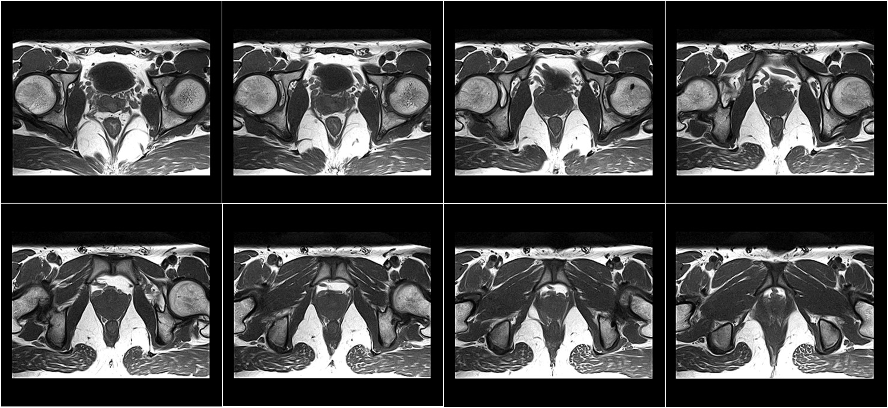
Hình ảnh lâm sàng







