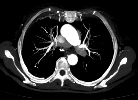
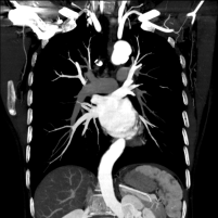
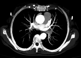
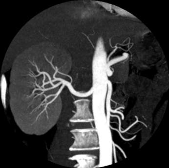
ANATOM A200 - CT Xoắn ốc 32 lát cắt
Hệ thống với bóng chiếu 2 MHU đạt được hiệu quả lên tới 5 MHU đáp ứng được hơn 30 bệnh nhân mỗi ngày. Là Hệ thống Chụp cắt lớp CT 32 lát duy nhất đươc trang bị bộ thu siêu rộng 17,6mm, ANATOM A200 cho phép thu nhận nhiều cơ quan chỉ trong một vòng quay. Tích hợp đầy đủ các chức năng lâm sàng và tối ưu hoá trải nghiệm bệnh nhân, hệ thống là sự lựa chọn lý tưởng cho các cơ sở y tế.

Mạch tích hợp cho phép truyền dữ liệu không tiêu hao, tối ưu tốc độ và chất lượng hình ảnh

Giảm chi phí vận hành, hỗ trợ chăm sóc sức khoẻ thân thiện với môi trường, đáp ứng nhu cầu thiết bị tiết kiệm năng lượng

Bộ thu OPtiWave™ suy hao tín hiệu 8% sau 10 năm, kéo dài tuổi thọ của thiết bị

Với mô đun kỹ thuật số tích hợp và bộ chuyển đổi ADC, hệ thống giúp đơn giản hoá kết nối và tăng cường khả năng chống nhiễu bằng cách loại bỏ nhu cầu sử dụng của cáp tín hiệu tương tự có mật độ cao



Bộ thu Optiwave™ và protocols: giúp giảm hao tổn điện năng trong vận hành hàng ngày và nâng cao chất lượng hình ảnh

Hệ thống quản lý nhiệt hiệu quả, giảm thiểu phát sinh nhiệt và nhu cầu làm mát quá mức, nâng cao độ ổn định

Chế độ chờ thông minh giúp hệ thống luôn sẵn sàng tức thì, đồng thời tiết kiệm điện trong thời gian không hoạt động, giảm mức tiêu thụ năng lượng




















