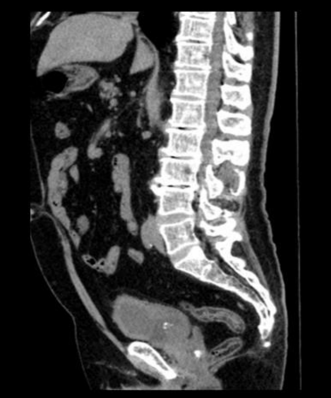
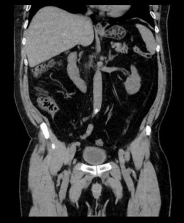
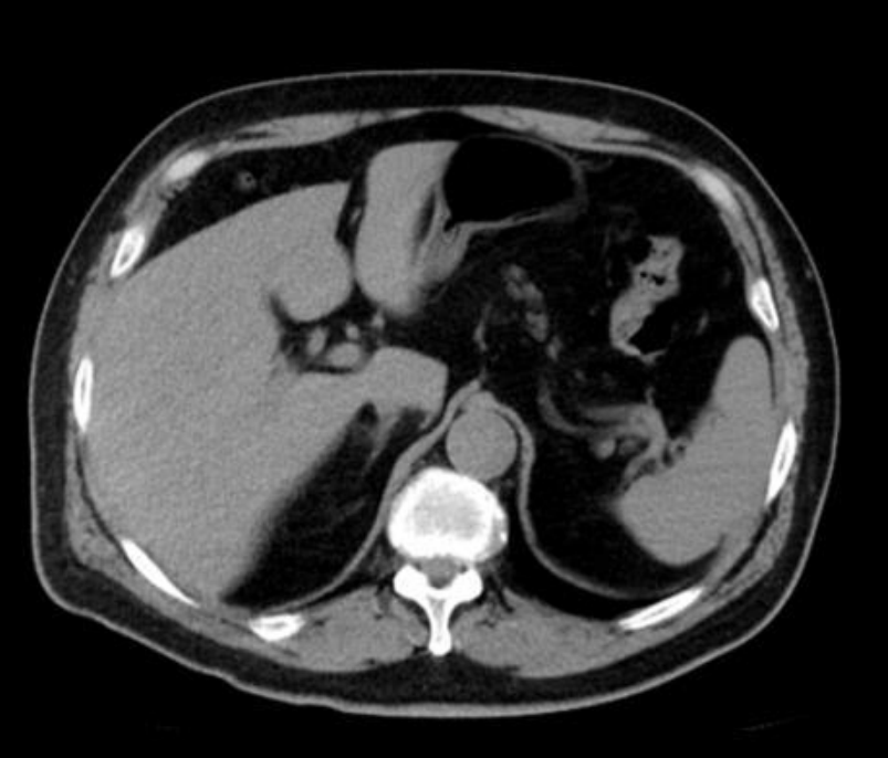
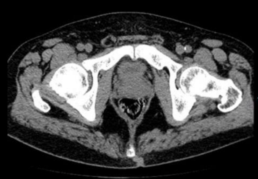
ANATOM C210 - CT Xoắn ốc 64 lát cắt
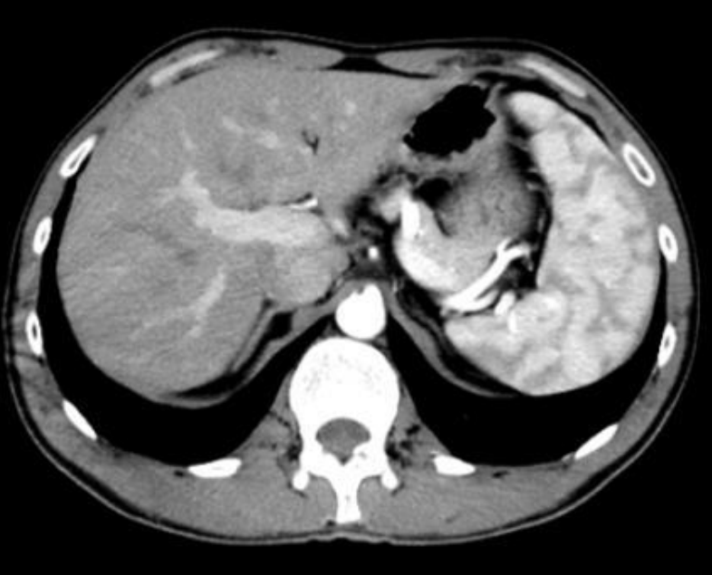
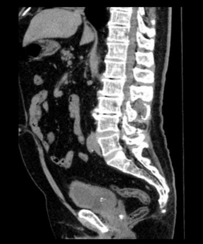
Được thiết kế cho môi trường lâm sàng có tần suất sử dụng cao, hệ thống tích hợp bóng X-quang bền bỉ 5.0 MHU cùng tốc độ quay 0,75 giây ấn tượng, mang lại hiệu suất quét vượt trội và tối ưu hóa liều tia. Với năng lực lâm sàng toàn diện và quy trình vận hành tiêu chuẩn ứng dụng AI, thiết bị đáp ứng xuất sắc nhiều nhu cầu chẩn đoán — từ thần kinh, cấp cứu chấn thương, theo dõi ung thư đến chụp mạch toàn thân — trở thành một giải pháp linh hoạt và đầy thuyết phục cho các cơ sở y tế




Chỉ với 1 click tự động xác định chính xác phạm vi quét theo giao thức đã chọn, giảm thiểu điều chỉnh thủ công phức tạp

Chỉ với 1 click định vị chính xác iso-center, tối ưu hình ảnh và liều tia, giảm thiểu phơi nhiễm



Hệ thống quản lý nhiệt hiệu quả, giảm thiểu phát sinh nhiệt và nhu cầu làm mát quá mức, nâng cao độ ổn định

Chế độ chờ thông minh giúp hệ thống luôn sẵn sàng tức thì, đồng thời tiết kiệm điện trong thời gian không hoạt động, giảm mức tiêu thụ năng lượng

Bộ thu Optiwave™ và protocols: giúp giảm hao tổn điện năng trong vận hành hàng ngày và nâng cao chất lượng hình ảnh






















