ANATOM S800 - CT Xoắn ốc 256 lát cắt
Vượt qua mọi giới hạn hình ảnh - Khám phá những điều chưa từng có
ANATOM S800 tập trung vào độ chính xác hình ảnh và khả năng vận hành thông minh trong toàn bộ quy trình, tái tạo chân thực từng chi tiết. Hệ thống được trang bị các tính năng tiên tiến như định vị hợp nhất trực quan, điều khiển kép không dây và nền tảng hỗ trợ thông minh cho chụp tốc độ cao. Với tốc độ quay siêu nhanh 0,256 giây, bóng chiếu 7,5 MHU (hiệu dụng lên đến 27,1 MHU) cùng detector độ rộng 80 mm, ANATOM S800 mang lại độ chính xác vượt trội ngay cả trong những tình huống lâm sàng phức tạp nhất.
Công nghệ
Tiêu chuẩn mới cho độ chính xác hình ảnh
Hiệu suất vượt trội
Liều chiếu xạ tối ưu
Linh hoạt hình ảnh
Nâng cao giá trị lâm sàng
Hệ thống định vị tự động Sky-eye

Accu-ISO
Chỉ với 1 click định vị chính xác iso-center, tối ưu hình ảnh và liều tia, giảm thiểu phơi nhiễm

Accu-Positioning
Chỉ với 1 click tự động xác định chính xác phạm vi quét theo giao thức đã chọn, giảm thiểu điều chỉnh thủ công phức tạp
Tối ưu hóa liều tia với giải pháp lấy bệnh nhân làm trung tâm
Công nghệ Adose
- Tự động điều chỉnh dòng ống theo từng bệnh nhân với liều chiếu xạ tối thiểu
- Tối ưu chất lượng hình ảnh chẩn đoán và giảm phơi nhiễm bức xạ
- Tối ưu chất lượng hình ảnh chẩn đoán và giảm phơi nhiễm bức xạ

Công nghệ khử nhiễu AI Artist
- Giải pháp sàng lọc ung thư phổi liều thấp
- Giải pháp chẩn đoán hình ảnh mô mềm tiên tiến cho khảo sát ổ bụng
- Giải pháp chẩn đoán hình ảnh mô mềm tiên tiến cho khảo sát ổ bụng

Giám sát liều chiếu xạ
- Theo dõi liều chiếu xạ theo thời gian thực, cảnh báo khi vượt ngưỡng liều cao
- Hỗ trợ đánh giá an toàn cho bệnh nhân
- Hỗ trợ đánh giá an toàn cho bệnh nhân

Giao thức chụp nhi khoa
- Giao thức được thiết kế riêng cho bệnh nhi, giảm thiểu tối đa liều chiếu xạ
- Đảm bảo chất lượng hình ảnh chẩn đoán cao
- Đảm bảo chất lượng hình ảnh chẩn đoán cao

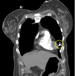
Công nghệ tim mạch Aheart

Phương pháp chỉnh sửa ECG

Khám phá nhiều hơn, đi sâu vào từng chi tiết
Công nghệ DE tiên tiến: Tích hợp đa dạng kỹ thuật năng lượng kép, hình ảnh rõ nét
Phân tích toàn diện: Cung cấp đồng thời đánh giá định tính và định lượng chuyên sâu.
Giá trị lâm sàng vượt trội: Hỗ trợ nâng cao độ tin cậy trong chẩn đoán và điều trị.

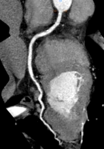
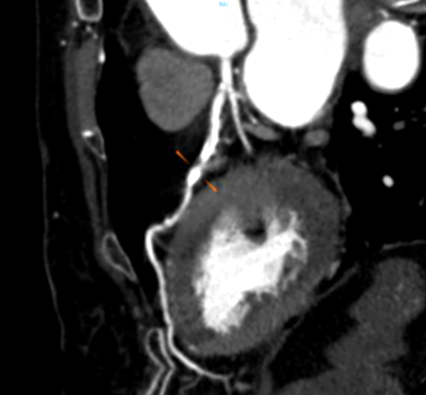
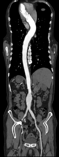
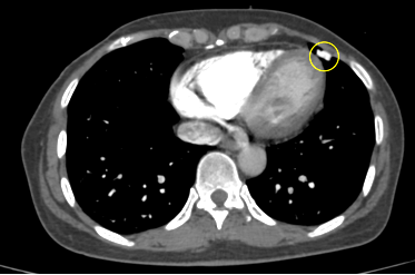
Hình ảnh lâm sàng
















