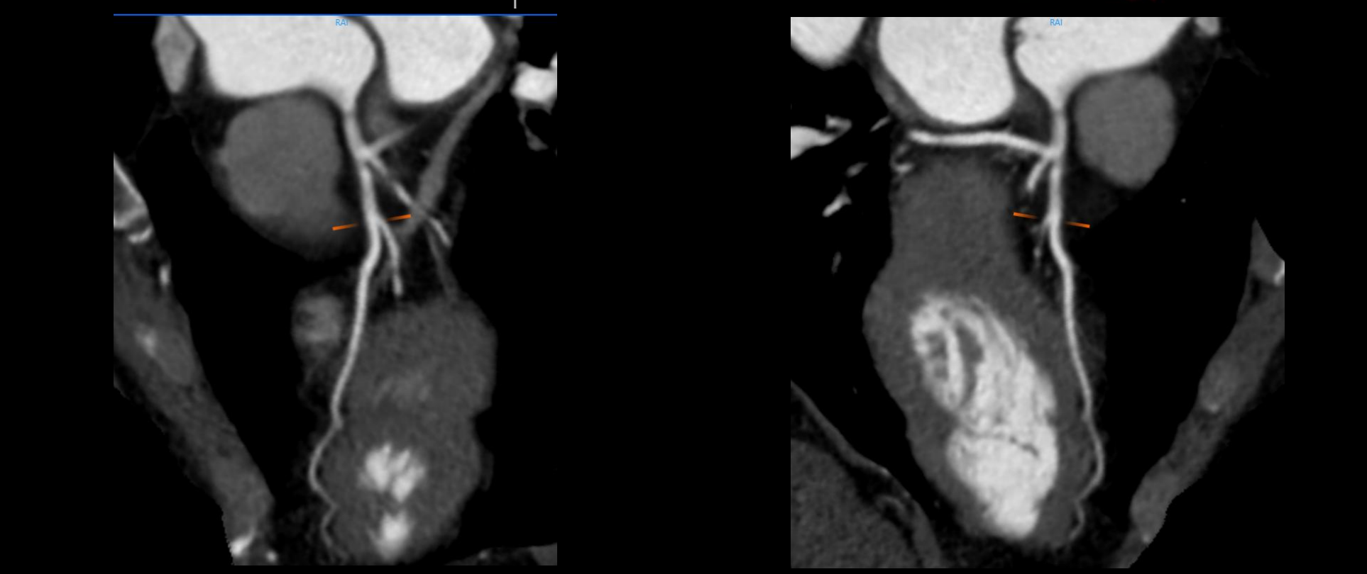
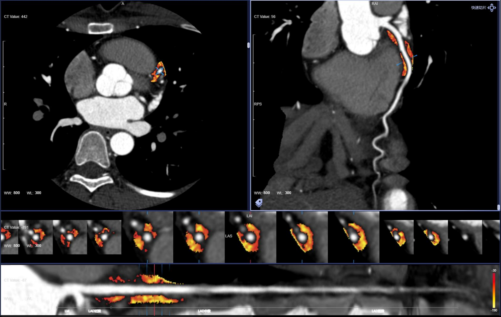
ANATOM S400 - CT Xoắn ốc 128 lát cắt
Hệ thống CT tiên tiến này sở hữu tốc độ quay siêu nhanh 0,286 giây, bóng tia X công suất 7,5 MHU (hiệu dụng lên đến 27,1 MHU) cùng detector độ rộng 40 mm. Nhờ các công nghệ hiện đại, hiệu suất chụp tim vượt trội được nâng lên một chuẩn mực mới, mang lại hình ảnh tim mạch chính xác và ổn định. Thiết bị tích hợp nền tảng AI toàn diện, bao phủ toàn bộ quy trình từ định vị bệnh nhân, quét, kiểm soát liều, giảm nhiễu và triệt tiêu artefact đến hậu xử lý hình ảnh và hỗ trợ chẩn đoán, đảm bảo độ chính xác vượt trội ngay cả trong những tình huống lâm sàng phức tạp nhất.

Chỉ với 1 click tự động xác định chính xác phạm vi quét theo giao thức đã chọn, giảm thiểu điều chỉnh thủ công phức tạp

Chỉ với 1 click định vị chính xác iso-center, tối ưu hình ảnh và liều tia, giảm thiểu phơi nhiễm
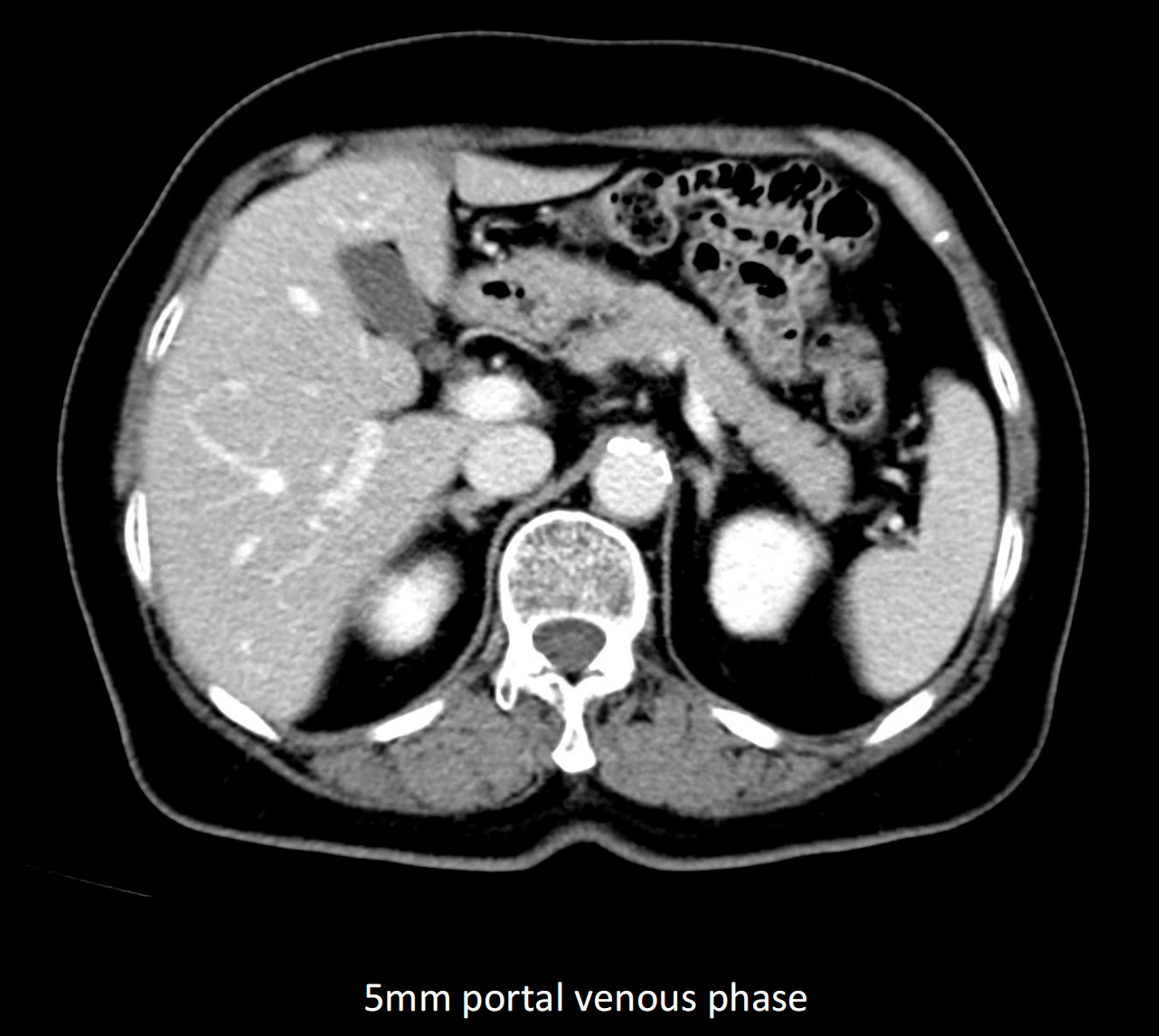
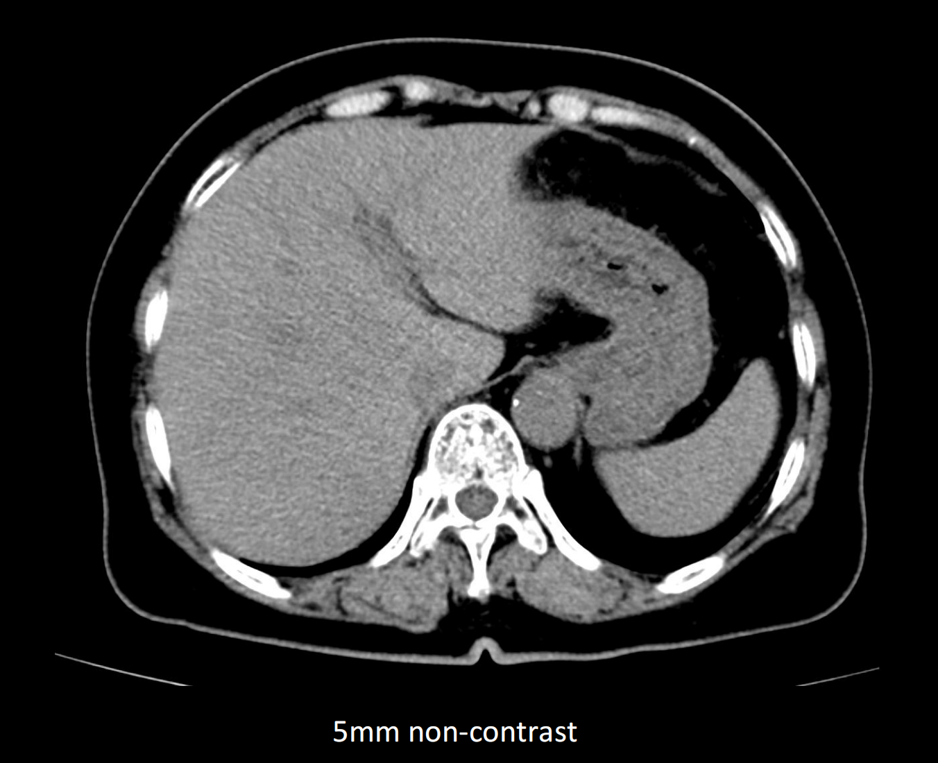
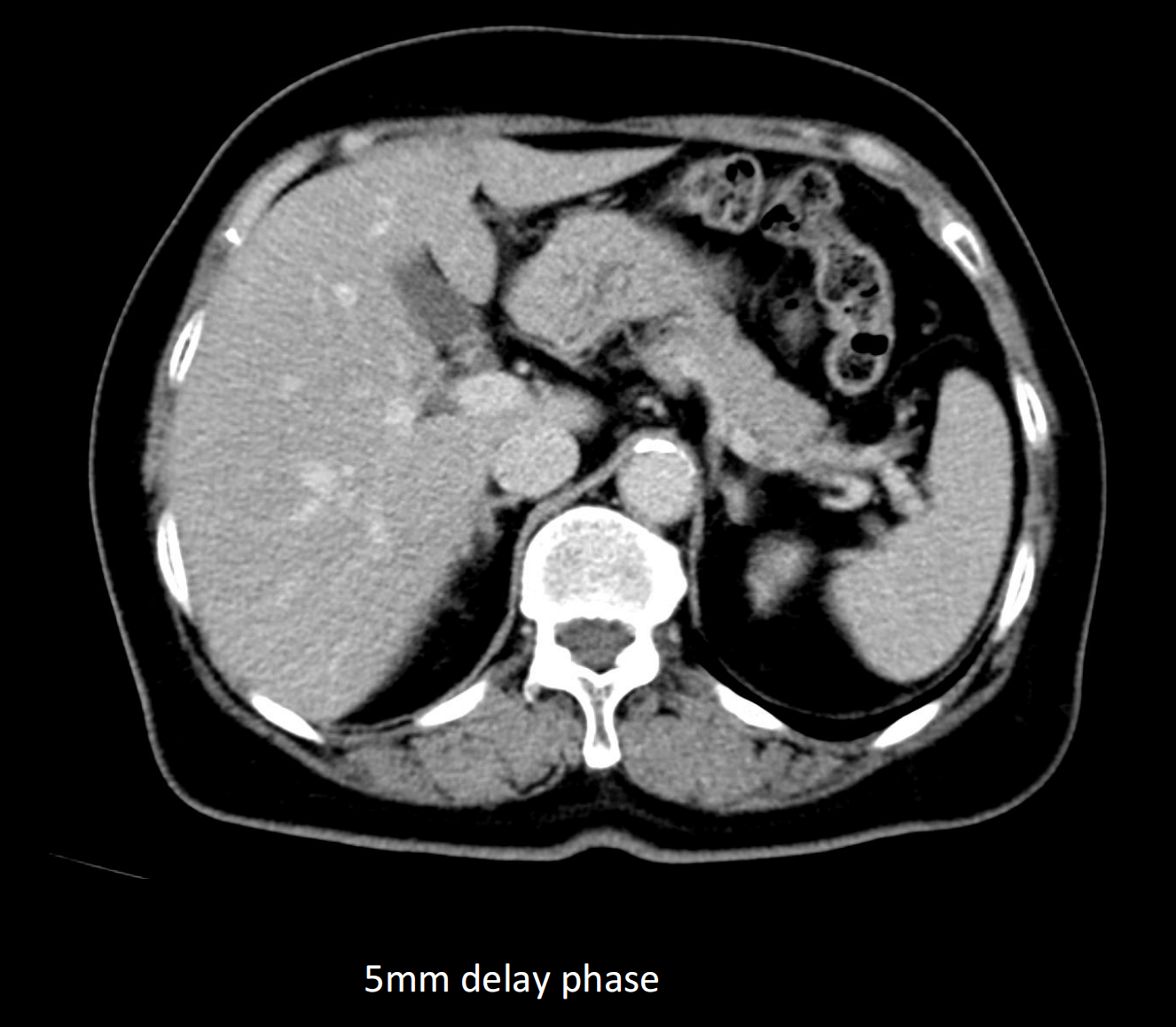
- Giải pháp chẩn đoán hình ảnh mô mềm tiên tiến cho khảo sát ổ bụng

- Tối ưu chất lượng hình ảnh chẩn đoán và giảm phơi nhiễm bức xạ

- Hỗ trợ đánh giá an toàn cho bệnh nhân

- Đảm bảo chất lượng hình ảnh chẩn đoán cao






















