ANATOM P428 - CT Xoắn ốc 128 lát cắt
Khám phá kỷ nguyên mới của chẩn đoán hình ảnh y khoa với Hệ thống Chụp cắt lớp CT hiện đại 128 lát cắt, tích hợp liền mạch quy trình AI, tốc độ quay 0,33s/vòng và bóng tia X ổ trục kim loại 25MHU hiệu suất cao, hỗ trợ hơn 200 bệnh nhân mỗi ngày. Đỉnh cao công nghệ chẩn đoán này mang đến độ chính xác vượt trội trong các tình huống chăm sóc sức khoẻ tiên tiến

Không mất thời gian chuẩn bị giữa các lần quét
Quét liên tục trong suốt cả ngày
Vòng quay liên tục với tốc độ cao

Chất lỏng làm mát hỗ trợ tản nhiệt
Khả năng làm mát ngăn ngừa quá nhiệt
Hệ thống làm mát đảm bảo vận hành ổn định

Chất lỏng kim loại đảm bảo vận hành êm ái
Thiết kế không tiếp xúc giúp loại bỏ hao mòn
Giảm nhu cầu bảo trì

Chất lỏng ngăn tiếp xúc trực tiếp.
Rãnh xoắn bảo đảm bôi trơn liên tục
Tiếp xúc trực tiếp giúp vận hành trơn tru
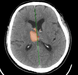
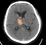
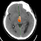
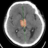
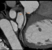
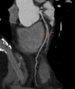
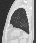
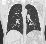
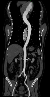
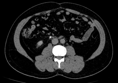
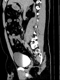
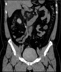
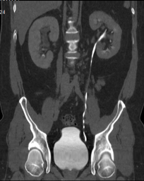
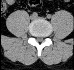
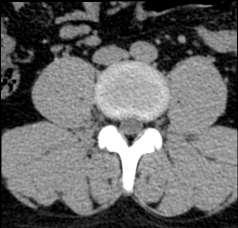
Chẩn đoán hình ảnh mô mềm tiên tiến cho vùng bụng.

Tăng cường độ tương phản I-ốt.


Hỗ trợ đánh giá an toàn cho bệnh nhân.

Đảm bảo hình ảnh chất lượng cao.

Nghiêng kỹ thuật số ±50° giúp quy trình nhanh hơn.


Chỉ với 1 click tự động xác định chính xác phạm vi quét theo giao thức đã chọn, giảm thiểu điều chỉnh thủ công phức tạp

Chỉ với 1 click định vị chính xác iso-center, tối ưu hình ảnh và liều tia, giảm thiểu phơi nhiễm































